Львівські лікарі дістали кулю для пневматичної гвинтівки з апендикса 6-річного хлопчика (фото)
Львівські лікарі дістали кулю від пневматичної гвинтівки з апендикса 6-річного хлопчика, чим врятували йому життя. Про це сьогодні повідомили на сторінці Львівської Обласної Дитячої Клінічної Лікарні Охматдит.
Як повідомили у лікарні, до львівського «ОХМАТДИТу» потрапив 6-річний хлопчик з болями в животі. Привезла його "швидка””.
При обстеженні у хірургічному приймальному покої лікарі діагностували гострий апендицит.
«Здається, звичайна ситуація. Типовий пацієнт, типова операція… Апендицит буває майже на кожному чергуванні хірурга. Дитячий хірург Кирило Лапшин, на чергуванні якого трапилася ця майже детективна історія, не міг уявити, яка знахідка чекає його на рентген-знімку маленького животика», — розповіли у лікарні.
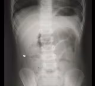
Справа, у клубовій ділянці, чітко візуалізувався сторонній предмет, але дуже дивний.
«Нашому маленькому пацієнтові від самого початку пощастило, що Кирило Володимирович відразу чітко впізнав обриси кулі від пневматичної гвинтівки. Лікар уточнив у тата хлопчика, чи могло бути, що його син проковтнув кулю. Батько пригадав, що у них вдома справді є пневматична рушниця і до неї металеві кулі. Недавно син грався коробкою з кулями. Ймовірно, випадково хлопчик проковтнув одну з них. І все б нічого, якби куля потрапила зі шлунка в кишківник і вийшла», — розповіли у лікарні.
Куля від пневматичної гвинтівка подолала незвичний шлях — замість потрапити у пряму кишку, опинилася у червоподібному відростку (апендиксі), стала причиною запального процесу у ньому і вклала дитину на операційний стіл.
«Зазвичай просвіт апендиксу перекривається каловим каменем чи навіть глистами. Слизова паростка продукує слиз у його просвіт, збільшується внутрішній тиск, порушується кровообіг, слизова апендиксу стає проникною для мікроорганізмів, які проникають всередину. Так починається запальний процес, який ми всі знаємо як апендицит. У нашому випадку коли ми видаляли апендикс, я зразу побачив, що в ньому є потовщення. Ми його видалили і вже назовні розрізали. Там справді була куля! Вона, як стороннє тіло, потрапила з кишок у апендикс і створила його обструкцію. Це і стало незвичайною причиною апендициту», — розповів дитячий хірург Кирило Лапшин.
[caption id=«attachment_249507» align=«aligncenter» width=«366»] Лікар: Кирило Лапшин[/caption]
varta1.com.ua: Новини
Читайте також
Топ-5 магазинів матраців у Львові: де купити якісний матрац у 2026 році?
Нижче ми зібрали п’ять популярних локацій з широким асортиментом, де львів’яни найчастіше купують матраци.
На Львівщині військові клали бруківку замість служби
Заступника командира обвинувачують у перевищенні влади військовою службовою особою (ч. 5 ст. 426-1 КК України)
На Львівщину повертається загиблий Герой Віктор Гулядик
Воїн загинув 28 вересня 2024 року під час виконання бойового завдання поблизу села Богоявленка Донецької області
Найкоментованіше
- У Луцьку група підлітків напала на військових ТЦК (ВІДЕО)
- Україна пропонує росії продовжити перемир'я після Великодня, – Зеленський
- Військовослужбовці ТЦК у разі небезпеки можуть застосовувати вогнепальну зброю, - нардеп
- До України привезли Благодатний вогонь
- В Україні весь особовий склад одного ТЦК відправили на бойові посади
Коментарі