Львівські лікарі рятували життя чотирирічного хлопчика, який проковтнув лампочку від гірлянди (ФОТО)
Львівські медики рятували життя чотирирічного хлопчика, у якого до бронхів потрапила лампочка від гірлянди. Про це повідомили на сторінці львівського обласного «Охматдиту»Лампочку від гірлянди дістав без жодного розрізу торакальний хірург Олександр Колодій.
Як розповідають у лікарні, родина зі Львова дістала коробки з прикрасами, щоб прикрасити ялинку.
«В якийсь момент 4-річному синочку до ротика потрапила світлодіодна лампочка з гірлянди. Малеча чемна, раніше не брав до рота сторонніх предметів, чому вирішив спробувати світло на смак — важко пояснити. Але за якусь мить хлопчик проковтнув лампочку, почав кашляти і задихатися. Батьки вирішили не гаяти часу викликали швидку допомогу, яка і привезла малого до нас на Лисенка», — розповідають у лікарні.
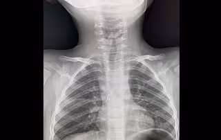
Чергові лікарі зробили рентген і побачили стороннє тіло у дихальних шляхах. Діставали його з допомогою бронхоскопії, тобто без жодного розрізу.
«Гострими, направленими в різні сторони вусиками лампочка »дивилася« на мене. Вуса під час дихання травмували слизову оболонку в ділянці біфуркації трахеї, там уже утворилися дрібні крововиливи. Я захопив вусики щипцями і завів їх у тубус бронхоскопа, щоб під час видалення не травмувати ними бронхи і трахею. Разом з тубусом дістав лампочку з бронха дитини», — пояснив торакальний хірург Олександр Колодій.
Кожен випадок стороннього тіла — унікальний. Але щоразу лікарі шукають рішення для порятунку малечі.
Зараз маленький пацієнт уже поїхав додому.
"Дорослі, свято наближається, але не втомлюємося нагадувати: будьте обережними з усіма дрібними і гострими предметами, якщо у домі є маленькі діти! Маленькі дослідники мають звичку пробувати усе на зуб. Хай свята минуть безпечно!" — наголошують лікарі.
varta1.com.ua: Новини
Поліціянтам в Україні підвищать зарплати
Метою ухвалення законодавчого акта є закріплення мінімального, гарантованого рівня посадового окладу поліціянта
Президент розповів, хто представлятиме Україну на переговорах зі США у Саудівській Аравії
Україну на переговорах з американською делегацією у Саудівській Аравії представлятимуть четверо високопосадовців
Словаччина вже не розраховує на постачання російського газу через Україну
У словацькій компанії SPP не підтвердили створення дочірньої компанії в Україні для організації транзиту російського газу
Найкоментованіше
- Зеленський заявив, що волів би взагалі не укласти жодної угоди, ніж змусити свій народ прийняти погану, - The Atlantic
- МАГАТЕ заявляє, що усі АЕС в Україні зупинили виробництво електроенергії
- Пенсії в Україні зростуть з 1 березня
- Зеленський підписав указ, яким дозволив чоловікам віком від 60 років проходити військову службу
- Зеленський уточнив, за яких умов бойові дії можна буде завершити до літа
Найчитаніше
- У львівській лікарні чоловікові з третьою стадією раку рота видалили пухлину
- росія знищила великий завод з виробництва дронів в Україні
- Підтверджено загибель Героя зі Львівщини, який з 2024 року вважався безвісти зниклим
- МАГАТЕ заявляє, що усі АЕС в Україні зупинили виробництво електроенергії
- На Львівщині затримали лікаря за вимагання 80 000 грн хабаря
Коментарі