У Львові врятували жінку, яка понад пів року жила із зубом у бронхах: як він туди потрапив (ФОТО)
Жінка скаржилась на постійний кашель
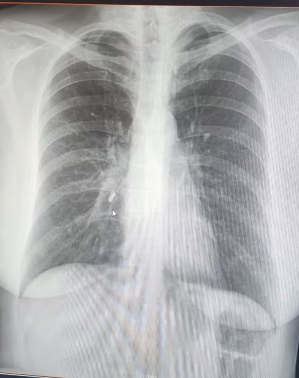
У Львові до медиків звернулася молода жінка із скаргами на постійний, виснажливий кашель, часом аж до рвоти. Як виявилося згодом - від липня 2022 року вона прожила із частиною зуба у бронхах. Про це повідомляє Центр легеневого здоров'я.
Лікар оглянув пацієнтку та відправив її на обстеження. Під час цього з'ясувалось, що у бронхах пацієнтки застряг зуб.
Фото: Центр легеневого здоров'я
Читайте також: з'явилися нові подробиці у зникненні відомого львівського лікаря (ФОТО).
«Як виявилося, під час пологів, які проходили шляхом кесаревого розтину та екстреній інтубації, частина зуба пацієнтки була пошкоджена й потрапила у дихальні шляхи. Відтак, уже фахівці ендоскопічного кабінету Центру легеневого здоров'я під місцевою анестезією видалили стороннє тіло за допомогою ендоскопічного кошичка», - йдеться у повідомленні.
varta1.com.ua: Новини
Читайте також
У пʼятницю Львів попрощається із захисниками Віталієм Калімуліним та Романом Чайкою
Львів попрощається з військовослужбовцями Віталієм Калімуліним та Романом Чайкою, які віддали життя, захищаючи Україну від російських окупантів
На Львівщині висадили гектар лісу в пам’ять про полеглого воїна-лісівника Андрія Позняка
Акція «Ліси пам’яті» об’єднала рідних захисника, колег та громаду заради вшанування подвигу героя
На Львівщині під час пожежі сухостою у дачному кооперативі загинув чоловік
Трагедія сталася через займання сухої трави на території дачного кооперативу у селі Межиріччя
Найкоментованіше
- Україні доведеться визнати територіальні втрати, - Мерц
- Європа готується до затяжної війни в Україні, - NYT
- У Чернівцях скасували концерт Анастасії Приходько, яка заявила, що вона говорить “київською російською мовою”
- Партнери України будуть використовувати український фронт як полігон для тестування своїх оборонних розробок
- Петер Мадяр пропонує Володимиру Зеленському зустрітися у Береговому на Закарпатті
Найчитаніше
- Підтверджено загибель зниклого безвісти на Курщині воїна з Львівської області Павла Горошка
- У Львові у парку знайшли мертве немовля
- Львів 29 квітня попрощається із двома захисниками та захисницею України
- До України з Німеччини екстрадовано лідера злочинної організації
- Підтверджено загибель Героя зі Львівщини, який вважався безвісти зниклим з 2023 року
Коментарі